What Is Granulation Tissue
Granulation tissue is a common cause of postsurgical vaginal bleeding and frequently is biopsied particularly if there are concerns stemming from a prior surgical procedure for a neoplasm. As the body heals this tissue fills in the injury and may eventually scar over.
  Https Encrypted Tbn0 Gstatic Com Images Q Tbn 3aand9gcs1fl9klpoevsnoiw3hzjqm1skh4dugkxlujq4whbjmwunlbw M Usqp Cau  
However while granulation tissue may be bothersome it is not dangerous and it is not an infection.

What is granulation tissue. The new capillaries make the tissue appear pink and granular thus the name. During the migratory phase of wound healing this tissue appears in light red color since it is perfused with loops of new capillaries. Granulation tissue is a collection of small microscopic blood vessels and a connective tissue.
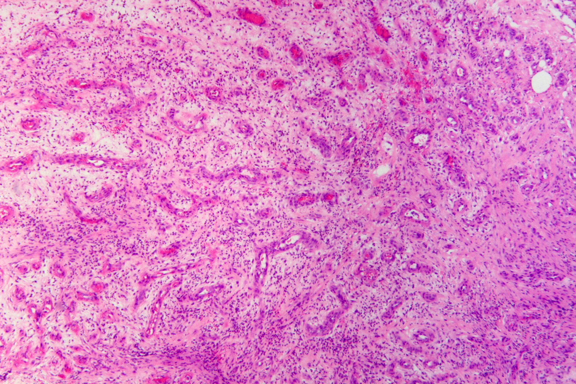
Histologically one can observe macrophages and proliferating fibroblasts within granulation tissue. Granulation tissue is collagen rich tissue which forms at the site of an injury. In some cases the body produces too much granulation tissue in a condition known as proud flesh in which case medical treatment may be required to halt the overproduction.
Clinicians observe how granulation tissue is forming on a wound in order to assess how well the injury is being repaired by the body. Granulation tissue is typically red or pink soft tissue that appears bumpy or almost bubbly in nature. This is a normal response of the body.
When too much granulation tissue forms it is called proud flesh. Granulation tissue typically grows from the base of a wound and is able to fill wounds of almost any size. Granulation tissue the tissue that forms on a raw surface or open wound in the process of healing.
Typically granulation tissue appears as a raised red lobular lesion in the upper vagina near or within the sutured cuff. Granulation tissue is vascularized tissue that forms as chronic inflammation evolves. It is the body s attempt to heal the tube site.
Its main function is to facilitate wound healing. Granulation tissue is new connective tissue and microscopic blood vessels that form on the surfaces of a wound during the healing process. It is pink or red moist tissue that may cause a yellow green drainage or small amount of bleeding on the dressing.
This tissue can appear as early as 3 5 days after biomaterial implantation. The scar may fade over time especially if the wound is small. Granulation tissue is reddish connective tissue that forms on the surface of a wound when the wound is healing.
Examples of granulation tissue can be seen in pyogenic granulomas and pulp polyps. The excess granulation tissue is called proud flesh. Most often it is seen where the tube comes out of the skin.
It can bleed very easily and may grow quite rapidly. It consists of rapidly budding new blood capillaries surrounded by newly generated collagen fibrils secreted by cells called fibroblasts and many embedded inflammatory cells. Granulation tissue is extra growth of healing skin.
 G Gj Tubes Hypergranulation Tissue
  G Gj Tubes Hypergranulation Tissue  
 More Comparisons Of Granulation Tissue All Atp Vesicle Treated
  More Comparisons Of Granulation Tissue All Atp Vesicle Treated  
 Histological Analysis A H E Staining Of Granulation Tissue
  Histological Analysis A H E Staining Of Granulation Tissue  
 Complement System Granulomas Exudate Granulation Tissue C5a
  Complement System Granulomas Exudate Granulation Tissue C5a  
 File Granulation Tissue Low Power Jpg Wikimedia Commons
  File Granulation Tissue Low Power Jpg Wikimedia Commons  
  Plos One Rapid Granulation Tissue Regeneration By Intracellular  
 Polypoid Granulation Tissue In Pressure Ulcers Significance Of
  Polypoid Granulation Tissue In Pressure Ulcers Significance Of  
  Improved Dermal Wound Healing Wound Healing  
 Drilling Bone For Granulation Tissue The Hauns In Africa
  Drilling Bone For Granulation Tissue The Hauns In Africa  
 Polypoid Granulation Tissue In Pressure Ulcers Significance Of
  Polypoid Granulation Tissue In Pressure Ulcers Significance Of  
 Granulation Tissue Wound Healing Dressing Wound People Lip
  Granulation Tissue Wound Healing Dressing Wound People Lip  
 Tissue Types Skilled Wound Care
  Tissue Types Skilled Wound Care  
 Intracellular Delivery Of Adenosine Triphosphate Enhanced Healing
  Intracellular Delivery Of Adenosine Triphosphate Enhanced Healing  
  Plos One Rapid Granulation Tissue Regeneration By Intracellular  
 Identifying Types Of Tissues Found In Pressure Ulcers Woundsource
  Identifying Types Of Tissues Found In Pressure Ulcers Woundsource  
  Amicus Illustration Of Amicus Surgery Revision Tracheal Stoma Flap  
  Plos One Rapid Granulation Tissue Regeneration By Intracellular  
 Granulation Tissue Images Stock Photos Vectors Shutterstock
  Granulation Tissue Images Stock Photos Vectors Shutterstock  
 Cross Section 40x Stained With H E Of Granulation Tissue At
  Cross Section 40x Stained With H E Of Granulation Tissue At  
 Granulation Tissue Definition Of Granulation Tissue
  Granulation Tissue Definition Of Granulation Tissue  
 Granulation Tissue Wound Healing Granulation Tissue Wound
  Granulation Tissue Wound Healing Granulation Tissue Wound  
 Granulation Tissue Wound Healing And Endodontics Granulation
  Granulation Tissue Wound Healing And Endodontics Granulation  
 Histopathology Granulation Tissue Youtube
  Histopathology Granulation Tissue Youtube  
  What Is The Difference Between Granulation Tissue And Granuloma  
  Plos One Rapid Granulation Tissue Regeneration By Intracellular  
 Granulation Tissue Definition And Function Biology Dictionary
  Granulation Tissue Definition And Function Biology Dictionary  
 Granulation Tissue Images Stock Photos Vectors Shutterstock
  Granulation Tissue Images Stock Photos Vectors Shutterstock  
 Polypoid Granulation Tissue In Pressure Ulcers Significance Of
  Polypoid Granulation Tissue In Pressure Ulcers Significance Of  
 Friable Granulation Tissue Granulation Tissue Wound Care
  Friable Granulation Tissue Granulation Tissue Wound Care  
 File Histopathology Of Granulation Tissue With Formation Of
  File Histopathology Of Granulation Tissue With Formation Of  
 Wound Care Hyperbaric Medicine Magazine Wound Geography And
  Wound Care Hyperbaric Medicine Magazine Wound Geography And  








Posting Komentar
Posting Komentar